Hoy os presentamos el caso de Mariluz una paciente adulta que quería solventar el problema de mordida que presentaba. A Mariluz le había cambiado la sonrisa con el paso de los años y en todas las clínicas que había consultado para solucionarlo le aseguraban que su caso sólo se podía solucionar con cirugía, no con ortodoncia. Hasta que llegó a la consulta de Cayetana Manglano en Valencia para una segunda opinión.
Sin necesidad de cirugía hemos conseguido con un tratamiento de ortodoncia invisible y convencional unos resultados espectaculares que realmente le ha cambiado la vida a nuestra querida paciente.
Te contamos las ventajas de la ortodoncia invisible Invisalign
¿Quieres saber cómo lo hemos conseguido?
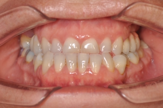
Tras analizar su caso detalladamente, el equipo de ortodoncistas de Cayetana Manglano llegó a la conclusión de que el caso de Mariluz podía ser perfectamente resuelto mediante ortodoncia y sin necesidad de cirugía. Como podéis ver en las imágenes, Mariluz presentaba una mordida clase 3 completa, mordida cruzada anterior y mordida abierta.
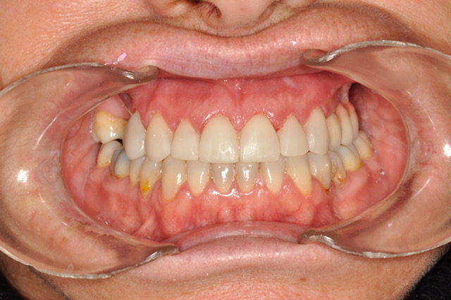
Además de alienadores transparentes, utilizamos Brackets posteriores para el anclaje de los dientes, micro tornillos y elásticos intermaxilares. Finalizamos el tratamiento de ortodoncia con un blanqueamiento dental y carillas de composite. Como podéis ver en las imágenes del antes y después hemos conseguido unos cambios espectaculares con ortodoncia y sin necesidad de pasar por el quirófano, una medida que la paciente descartaba por completo. Tras el tratamiento, Mariluz no sólo ha mejorado la estética de su sonrisa y la alineación de sus dientes, sino que ha podido mejorar la calidad de vida.
Lo que queremos transmitirte con este caso es que ¡Sí se puede!
Ortodoncia en Cayetana Manglano
Gracias a los más de 25 años de experiencia de la doctora Cayetana Manglano, junto a su gran equipo de ortodoncistas, resolvemos casos muy complejos sin necesidad de una intervención quirúrgica, tanto en nuestra clínica de Valencia como en la clínica dental de Villena. Siempre realizamos un plan de tratamiento totalmente personalizado y empleamos los últimos avances de la medicina y la tecnología para obtener los mejores resultados.
Nos apasiona nuestro trabajo y los retos que nos traéis a consulta, por lo que si quieres escuchar una segunda opinión o resolver cualquier problema bucodental pide tu primera visita gratuita en el siguiente formulario. ¡Te esperamos!
SOLICITA INFORMACIÓN SOBRE NUESTRO TRATAMIENTO DE ORTODONCIA VALENCIA



